症例
症例集です
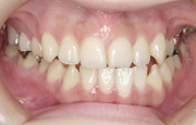
1.治療期間1年3か月親知らずのみ抜歯
>
| 主訴 | 歯並びを治したい |
|---|---|
| 診断名 | 顎変形症 |
| 初診時年齢 | 24歳1か月 |
| 症状 | 側方クロスバイト |
| 主な矯正装置 | マルチブラケット装置 |
| 手術 | 上顎ルフォーⅠ型 下顎SSRO |
| 抜歯 | 上左右7 |
| 治療期間 | 1年4か月 |
| 費用 | 保険適用 |
| 副作用 | 虫歯 |
>
2.治療期間1年6か月親知らずのみ抜歯
| 主訴 | 歯並びを治したい |
|---|---|
| 診断名 | 叢生 |
| 初診時年齢 | 20歳1か月 |
| 症状 | 正中の不一致 |
| 主な矯正装置 | マルチブラケット装置 |
| 手術 | なし |
| 抜歯 | おやしらず |
| 治療期間 | 2年1ヵ月 |
| 費用 | 55万(税別) |
| 副作用 | 虫歯 |
3.治療期間1年 上顎小臼歯のみ抜歯
| 主訴 | 歯並びを治したい |
|---|---|
| 診断名 | 叢生 |
| 初診時年齢 | 21歳1か月 |
| 症状 | 正中の不一致 |
| 主な矯正装置 | マルチブラケット装置(上のみ) |
| 手術 | なし |
| 抜歯 | 右上4 |
| 治療期間 | 1年4ヵ月 |
| 費用 | 35万(税別) |
| 副作用 | 虫歯 |
4.治療期間2年 親知らずのみ抜歯
| 主訴 | 歯並びを治したい |
|---|---|
| 診断名 | 叢生 |
| 初診時年齢 | 25歳2か月 |
| 症状 | 叢生 |
| 主な矯正装置 | マルチブラケット装置 |
| 手術 | なし |
| 抜歯 | おやしらず |
| 治療期間 | 2年3か月 |
| 費用 | 55万(税別) |
| 副作用 | 虫歯注意 |
5.治療期間2年6か月 親知らずと上顎小臼歯抜歯
| 主訴 | スキッパを治したい |
|---|---|
| 診断名 | 叢生 |
| 初診時年齢 | 28歳6か月 |
| 症状 | 空隙歯列 |
| 主な矯正装置 | マルチブラケット装置 |
| 手術 | なし |
| 抜歯 | なし |
| 治療期間 | 1年6か月 |
| 費用 | 55万(税別) |
| 副作用 | 虫歯注意 |
6.治療期間2年 親知らずのみ抜歯
| 主訴 | 受け口をなおしたい |
|---|---|
| 診断名 | 骨格性下顎前突・開咬・叢生 |
| 初診時年齢 | 31歳6か月 |
| 症状 | 空隙歯列 |
| 主な矯正装置 | マルチブラケット装置 |
| 手術 | ルフォーⅠ型+SSRO |
| 抜歯 | 上顎左右4番下顎左右8番 |
| 治療期間 | 3年1か月 |
| 費用 | 保険適用 |
| 副作用 | 虫歯注意 |
7.治療期間2年 親知らずと上顎小臼歯抜歯
| 主訴 | 受け口をなおしたい |
|---|---|
| 診断名 | 骨格性下顎前突・開咬・叢生 |
| 初診時年齢 | 27歳8ヵ月 |
| 症状 | 反対咬合・叢生 |
| 主な矯正装置 | マルチブラケット装置 |
| 手術 | なし |
| 抜歯 | おやしらず |
| 治療期間 | 2年1か月 |
| 費用 | 55万(税別) |
| 副作用 | 虫歯注意 |
8-9-10.治療期間2年。保存不可能な歯のみ抜歯、インプラント矯正併用
| 主訴 | 歯並びを治したい |
|---|---|
| 診断名 | 叢生 |
| 初診時年齢 | 30歳8ヵ月 |
| 症状 | 叢生 |
| 主な矯正装置 | マルチブラケット装置 |
| 手術 | なし |
| 抜歯 | 上顎左右4番下顎左右5番 |
| 治療期間 | 2年5か月 |
| 費用 | 55万(税別) |
| 副作用 | 虫歯注意 |
11.治療期間1年8か月。上下小臼歯抜歯
| 主訴 | 歯並びを治したい |
|---|---|
| 診断名 | 上顎前突・叢生 |
| 初診時年齢 | 20歳1か月 |
| 症状 | 叢生 |
| 主な矯正装置 | マルチブラケット装置 |
| 手術 | なし |
| 抜歯 | 上顎左右4番下顎おやしらず |
| 治療期間 | 2年2か月 |
| 費用 | 55万(税別) |
| 副作用 | 虫歯注意 |
12.治療期間2年。親知らずのみ抜歯
| 主訴 | 歯並びを治したい |
|---|---|
| 診断名 | 上顎前突・叢生 |
| 初診時年齢 | 36歳1か月 |
| 症状 | 叢生 |
| 主な矯正装置 | マルチブラケット装置 |
| 手術 | なし |
| 抜歯 | 上顎左右6番と左4下顎左右5番と右6番 |
| 治療期間 | 2年10か月 |
| 費用 | 55万(税別) |
| 副作用 | 虫歯注意 |
HOME











































